
مقدمه
مفصل شانه یکی از پیچیده ترین و پرتحرک ترین مفاصل بدن است که در معرض آسیب های متعددی مانند دررفتگی، التهاب و شکستگی قرار دارد. شکستگی های مفصل شانه، به ویژه در ناحیه استخوان بازو (هومروس) و کتف (اسکاپولا)، می توانند عملکرد حرکتی بیمار را به شدت مختل کنند. در این مقاله به بررسی دقیق علل، انواع و روش های درمانی این شکستگیها می پردازیم.
علل شکستگیهای مفصل شانه
.1آسیبهای تروماتیک
.2پوکی استخوان
.3 آسیبهای استرسی یا پاتولوژیک
انواع شکستگیهای مفصل شانه
علائم شکستگی مفصل شانه
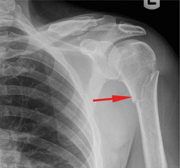
روشهای تشخیص
.1 معاینه فیزیکی
.2تصویربرداری
روش های درمان
درمان جراحی
توانبخشی پس از درمان
پیشگیری از شکستگی شانه
نتیجه گیری
شکستگی های مفصل شانه می توانند کیفیت زندگی بیمار را به شدت تحتتأثیر قرار دهند. تشخیص دقیق، درمان بهموقع و توانبخشی مؤثر کلیدهای اصلی باز توانی مفصل شانه است.
| دســـترسی سریع |
| نوبت دهی آنلاین |
| سئوالات متداول |
| لیست جراحی ها |
| مواد غذایی مفید |
| آرشیو مقالات |
| پــیوند ها |
| بیمارستان مدائن |
| بیمارستان نور افشار |
| بیمارستان محب مهر |
| وزارت بهداشت، درمان و آموزش پزشكي |
| دانشگاه علوم پزشکی |
| انجمن جراحان ارتوپدی |
| تمــاس با ما |
|
آدرس مطــب : تهـران ، خیـابـان شـریعتی خـیابان شـهید دسـتگردی ، پـلاک ۳۴ ، سـاختمان پزشکان حکیـم طبقه سوم واحد 12
تلفــن : 02122221516_ واتساپ مطب 09352900761
|